Quando si sente parlare di “che cos’è la mielofibrosi?”, può sembrare una condizione medica complicata — e in molti modi lo è. Tuttavia, con una spiegazione corretta, chiunque può capire che cos’è la mielofibrosi, come influisce sul corpo e quali opzioni esistono per gestirla. La domanda Come influisce la mielofibrosi sul corpo? è cruciale. La definizione di mielofibrosi è: una forma rara di tumore del sangue che provoca la formazione di cicatrici nel midollo osseo, compromettendo così la capacità dell’organismo di produrre cellule sane.
Comprendere le cause, riconoscere i sintomi della mielofibrosi ed esplorare le opzioni diagnostiche e terapeutiche può aiutare a fare chiarezza su questa condizione complessa — anche senza una formazione medica.
Cos’è esattamente la mielofibrosi?
Per comprendere la mielofibrosi, è utile sapere qualcosa sul midollo osseo e sulla produzione del sangue.Il midollo osseo è il luogo in cui le cellule staminali si trasformano in globuli rossi, globuli bianchi e piastrine.Nella mielofibrosi, questo processo viene alterato, portando a problemi nella produzione delle cellule ematiche. La mielofibrosi primaria, conosciuta anche come mielofibrosi primitiva, si sviluppa senza una causa precedente nota e rappresenta una forma autonoma della malattia.
La mielofibrosi appartiene al gruppo delle neoplasie mieloproliferative croniche e richiede una gestione specializzata fin dalle prime fasi.Comprendere il decorso e la prognosi della mielofibrosi è fondamentale per affrontare al meglio il percorso terapeutico.
Cosa causa la mielofibrosi?
Le cause precise della mielofibrosi non sono ancora completamente comprese, ma si sa che molte persone affette presentano mutazioni genetiche specifiche (JAK2, CALR, MPL). Queste mutazioni influenzano la crescita e la divisione cellulare, provocando una proliferazione anomala nel midollo osseo. Nel caso della mielofibrosi primaria, la malattia si manifesta spontaneamente, mentre in altri casi può essere secondaria ad altre patologie del sangue.
Quali sono i sintomi della mielofibrosi?
I mielofibrosi sintomi possono essere inizialmente lievi o addirittura assenti, ma tendono a peggiorare nel tempo.
Tra i più comuni troviamo:
- Affaticamento persistente a causa dell’anemia
- Milza ingrossata con senso di pienezza addominale
- Facilità di formazione di lividi e sanguinamenti
- Dolori ossei dovuti alla fibrosi del midollo
- Sudorazioni notturne e febbre
- Perdita di peso e inappetenza
Questi sintomi sono spesso simili a quelli di altre malattie, motivo per cui la diagnosi della mielofibrosi può richiedere tempo. Riconoscere tempestivamente i mielofibrosi sintomi può accelerare il percorso diagnostico e terapeutico.
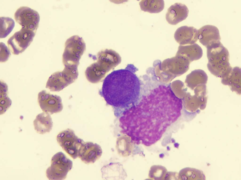
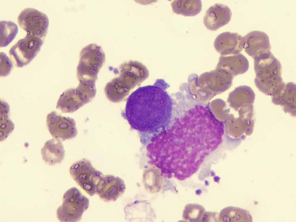
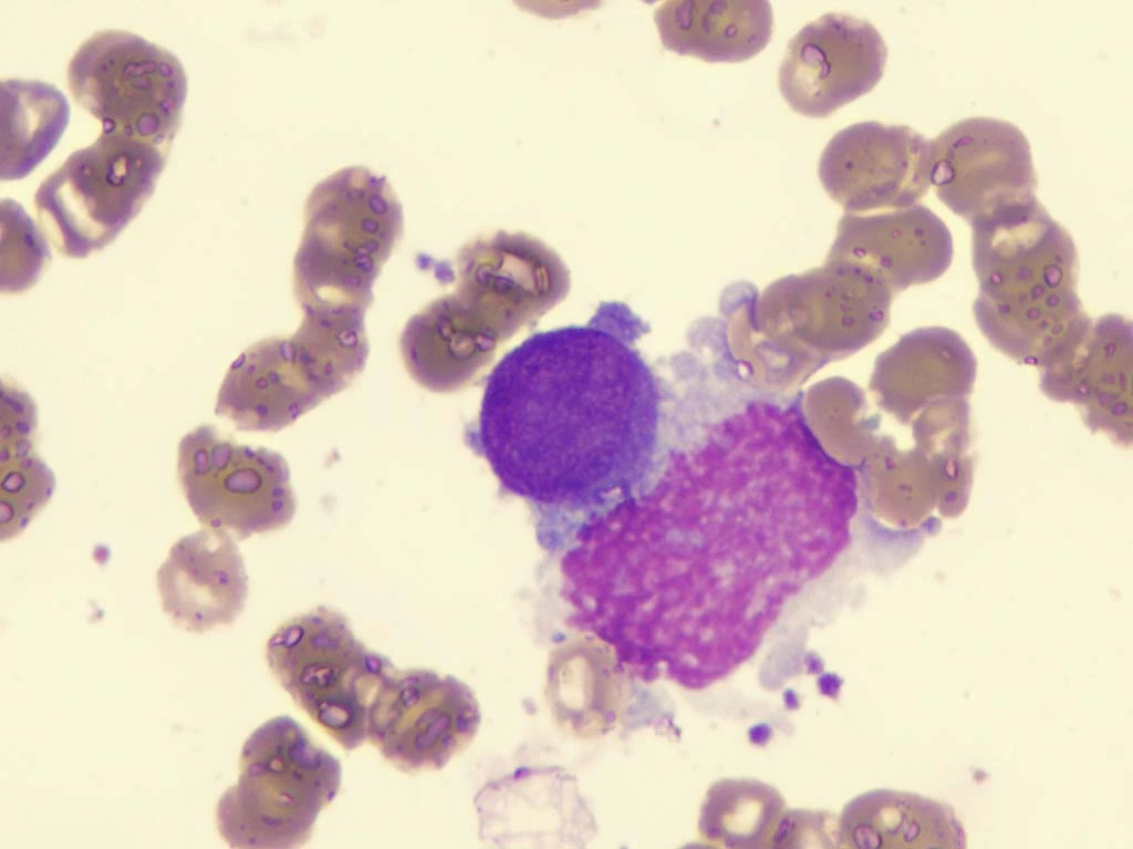
Come viene diagnosticata la mielofibrosi?
La diagnosi della mielofibrosi prevede diversi passaggi, inclusi:
- Esami del sangue (emocromo completo)
- Striscio periferico al microscopio
- Biopsia del midollo osseo per rilevare la fibrosi
- Test genetici per individuare mutazioni
- Esami di imaging per valutare milza e fegato
Una diagnosi precoce può migliorare sensibilmente la gestione della malattia.
Come si tratta la mielofibrosi?
Il trattamento della mielofibrosi varia da paziente a paziente:
- Osservazione attenta nei casi meno sintomatici
- Farmaci:
- Inibitori di JAK per ridurre la splenomegalia e migliorare la qualità della vita
- Trasfusioni di sangue
- Stimolanti della crescita cellulare
- Farmaci immunomodulanti
- Trapianto di cellule staminali:
È attualmente l’unica opzione curativa, ma comporta rischi elevati.Nei casi idonei, il trapianto rappresenta una possibilità concreta di mielofibrosi guarigione. - Terapie di supporto: gestione dei sintomi associati
- Partecipazione a studi clinici: accesso a trattamenti innovativi.
La mielofibrosi trattamento si basa sull’obiettivo di migliorare la qualità della vita, rallentare la progressione e trattare le complicanze.
Qual è l’andamento della mielofibrosi?
Il decorso della mielofibrosi può essere molto variabile.
Alcuni pazienti convivono con sintomi lievi per molti anni, altri sviluppano rapidamente complicanze più gravi. La mielofibrosi guarigione completa è possibile solo attraverso il trapianto, ma nuovi approcci terapeutici mirano a migliorare ulteriormente le prospettive di vita. La gestione precoce dei mielofibrosi sintomi e l’accesso a trattamenti moderni possono fare una grande differenza nell’aspettativa di vita con la mielofibrosi.
Conclusione
La mielofibrosi è una malattia rara e complessa del sangue che, grazie ai progressi della medicina, è oggi meglio compresa e trattata. La formazione di cicatrici nel midollo osseo limita la produzione di cellule sane, causando stanchezza, splenomegalia e altre complicanze. Anche se rara, riconoscere i mielofibrosi sintomi permette una diagnosi precoce e interventi più efficaci.
Che si tratti di affrontare una nuova diagnosi o di sostenere una persona cara, conoscere che cos’è la mielofibrosi e le possibilità di mielofibrosi guarigione aiuta a rendere il percorso meno incerto e più gestibile.
