Wenn Sie den Begriff „Was ist Myelofibrose?“ hören, mag es wie eine komplizierte medizinische Erkrankung klingen – und in vielerlei Hinsicht ist sie das auch. Aber mit der richtigen Erklärung kann jeder verstehen, was Myelofibrose ist, wie sie den Körper beeinflusst und welche Möglichkeiten es gibt, damit umzugehen.
Die Frage Wie wirkt sich Myelofibrose auf den Körper aus? ist entscheidend. Die Definition der Myelofibrose: Es handelt sich um eine seltene Form von Blutkrebs, die zu Narbenbildung im Knochenmark führt und die Produktion gesunder Blutzellen behindert. Mehr Wissen über Ursachen, myelofibrose symptome, Diagnostik und Therapieoptionen hilft, diese komplexe Krankheit besser zu verstehen – auch ohne medizinische Fachkenntnisse.
Was genau ist Myelofibrose?
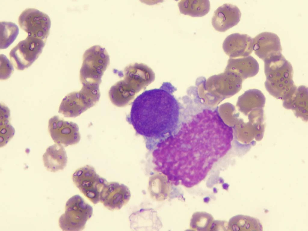
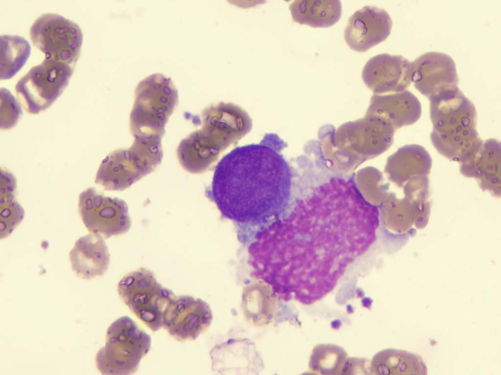
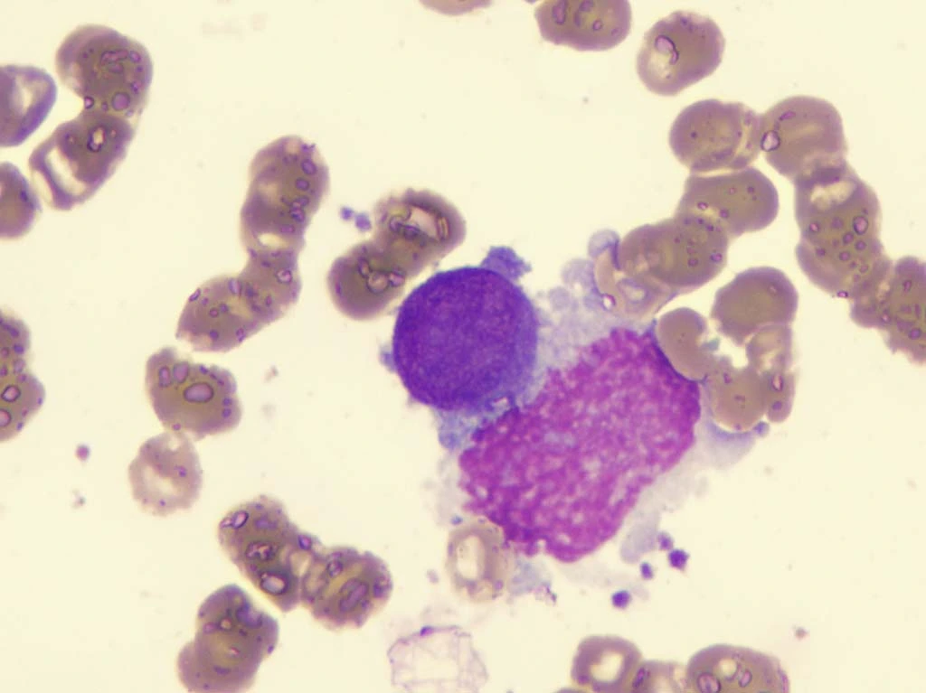
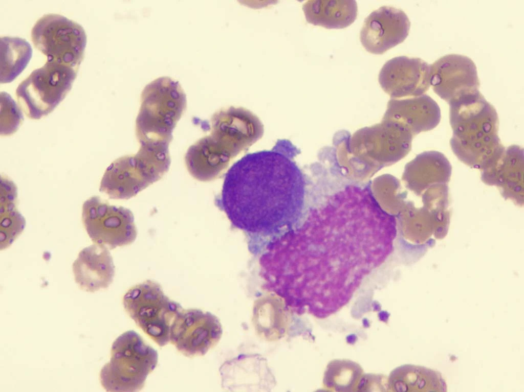
Um Myelofibrose zu verstehen, hilft es, ein wenig über die Blutbildung im Knochenmark zu wissen. Das Knochenmark produziert rote Blutkörperchen, weiße Blutkörperchen und Blutplättchen. Infolge der Myelofibrose wird dieser Prozess gestört, was zu schwerwiegenden Blutbildungsproblemen führt.
Myelofibrose gehört zur Gruppe der myeloproliferativen Neoplasien (MPN), einer Klasse von Blutkrebserkrankungen. Ein spezifischer Typ ist die primäre Myelofibrose, bei der die Krankheit ohne erkennbare Vorläufererkrankung entsteht.
Manchmal wird Myelofibrose auch unter der englischen Bezeichnung myelofibrosis in Fachartikeln beschrieben. Die myelofibrose prognose hängt stark davon ab, wann die Erkrankung erkannt und wie sie behandelt wird.
Was verursacht Myelofibrose?
Die Ursachen der Myelofibrose sind noch nicht vollständig verstanden, doch genetische Mutationen (JAK2, CALR, MPL) spielen eine entscheidende Rolle. Diese Mutationen führen zu einer Überaktivität der Knochenmarkzellen, was schließlich die Narbenbildung und die Erkrankung vorantreibt. Primäre Myelofibrose entsteht spontan, während sekundäre Formen als Folge anderer Bluterkrankungen auftreten können. Die genaue Ursache der myelofibrosis bleibt oft unbekannt, was die Prävention erschwert.
Was sind die Symptome der Myelofibrose?
Die myelofibrose symptome können anfangs mild sein oder sich schleichend entwickeln. Zu den häufigsten gehören:
- Müdigkeit infolge einer Anämie
- Vergrößerte Milz (Splenomegalie) mit Völlegefühl oder Druck im Bauch
- Neigung zu Blutergüssen und Blutungen wegen niedriger Thrombozytenzahlen
- Knochenschmerzen durch Vernarbung im Knochenmark
- Nachtschweiß und Fieber als Zeichen des Fortschreitens
- Ungewollter Gewichtsverlust und Appetitlosigkeit
Da viele dieser Beschwerden unspezifisch sind, bleibt die Myelofibrose oft lange unerkannt. Ein genaues Verständnis der myelofibrose symptome ist entscheidend, um frühzeitig eine Diagnose zu stellen.
Wie wird Myelofibrose diagnostiziert?
Die Diagnostik umfasst mehrere Schritte:
- Blutuntersuchungen wie ein vollständiges Blutbild
- Blutausstrich zur Beurteilung von Zellformen
- Knochenmarkbiopsie, um Fibrose und Zellveränderungen direkt zu erkennen
- Genetische Tests, insbesondere auf JAK2, CALR und MPL Mutationen
- Bildgebende Verfahren wie Ultraschall oder MRT zur Beurteilung der Organe
Eine frühzeitige Diagnose verbessert die myelofibrose prognose deutlich und eröffnet bessere Behandlungsoptionen.
Wie wird Myelofibrose behandelt?
Die myelofibrose behandlung hängt von der individuellen Situation des Patienten ab. Manche benötigen zunächst keine Therapie, während andere sofortige medizinische Maßnahmen brauchen. Zu den wichtigsten Behandlungsansätzen gehören:
- Abwarten und Beobachten bei milden Verläufen
- Medikamentöse Therapien:
- JAK-Inhibitoren (wie Ruxolitinib) zur Symptomkontrolle und Verkleinerung der Milz
- Bluttransfusionen zur Behandlung der Anämie
- Wachstumsfaktoren zur Förderung der Blutbildung
- Immunmodulatoren bei Bedarf
- Stammzelltransplantation:
Derzeit die einzige Möglichkeit einer potenziellen Heilung, jedoch mit erheblichen Risiken verbunden.
Die individuelle myelofibrose behandlung zielt darauf ab, Symptome zu lindern, Komplikationen zu vermeiden und die Lebensqualität zu verbessern. Auch neue Therapieansätze werden in klinischen Studien (Clinical Trials) untersucht, die Hoffnung auf innovative Lösungen bieten.
Wie verläuft Myelofibrose?
Der myelofibrose verlauf ist individuell sehr unterschiedlich. Einige Patienten leben über Jahre hinweg mit stabilen Symptomen, während andere rasch eine Verschlechterung erfahren. Die myelofibrose lebenserwartung hängt von mehreren Faktoren ab, einschließlich Alter, genetischer Veränderungen und Ansprechen auf Therapien. Eine enge ärztliche Überwachung und rechtzeitige Therapie können die Lebensqualität erheblich steigern und den Krankheitsverlauf positiv beeinflussen.
Fazit
Myelofibrose ist eine komplexe Blutkrebserkrankung, die zwar selten ist, aber dank moderner Medizin besser behandelbar geworden ist. Durch die Narbenbildung im Knochenmark wird die normale Blutzellproduktion eingeschränkt, was zu Müdigkeit, Splenomegalie und weiteren Komplikationen führt.
Obwohl eine vollständige Heilung selten ist, können viele Patienten mit der richtigen myelofibrose behandlung ein erfülltes Leben führen. Frühe Erkennung der myelofibrose symptome, moderne Therapien und eine gute Patientenbetreuung sind entscheidend, um die myelofibrose prognose zu verbessern und die myelofibrose lebenserwartung zu erhöhen.
